
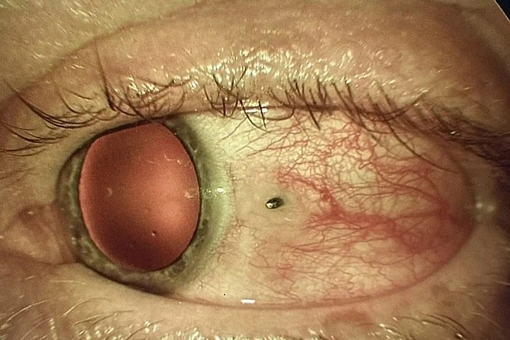
Житель Приморья пренебрёг техникой безопасности и едва не лишился зрения — металлическая щетинка от шлифовальной щётки отлетела от инструмента и вонзилась мужчине в глаз. Хирурги Краевой клинической больницы № 2 установили: часть проволоки торчала снаружи, а её другой конец прошёл внутрь глазного яблока, остановившись всего в 3,5 миллиметра от роговицы.
По словам врачей, пациенту невероятно повезло. В месте повреждения отсутствует сетчатка, что позволило избежать полной слепоты. Медики успешно удалили инородное тело из глаза и ушили рану. Сейчас пострадавший идёт на поправку и уже пообещал, что впредь будет работать только в защитных очках. Этот случай — наглядное напоминание о том, что техника безопасности существует не просто так.
Комментарии