
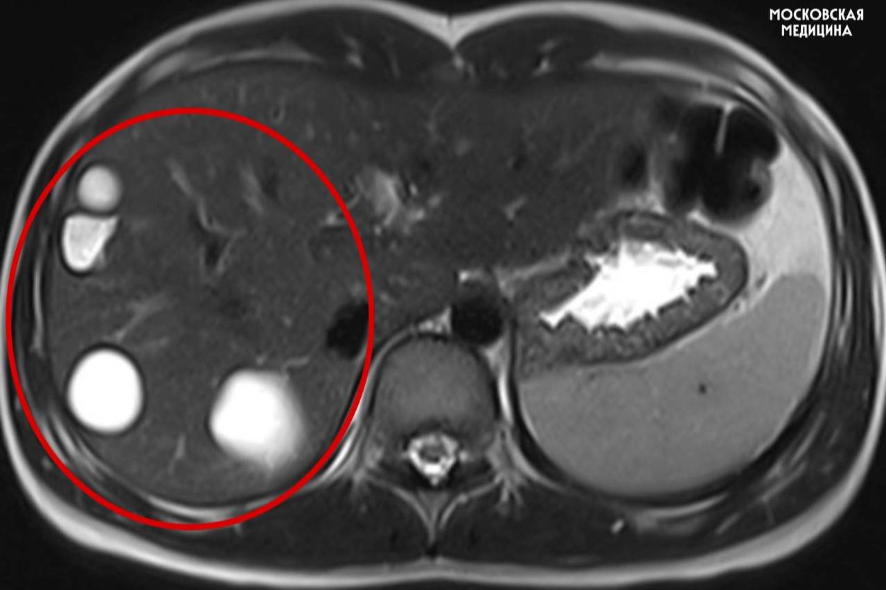
В столичной больнице имени Сперанского врачи спасли 14-летнюю девочку, у которой случайно обнаружили сразу несколько паразитарных кист печени. Находку сделали во время обычного планового обследования — никаких ярко выраженных симптомов у ребёнка не было. После диагностики школьницу сразу направили на операцию. Об этом в московском департаменте здравоохранения.
Как рассказал заведующий хирургическим отделением профессор Игорь Хворостов, эхинококкоз чаще всего выявляется поздно, так как его признаки — боль, лёгкая температура, тяжесть в животе или аллергия — выглядят неспецифичными. Хирурги провели лапароскопическую операцию и удалили пять кист. Уже через пять дней после вмешательства пациентку выписали домой.
Комментарии